白く美しい歯に。
身体にも優しい審美セラミック治療

審美セラミック治療とは一般的に、見た目の美しさを追求する歯科治療と言われていました。
しかし、当院の審美セラミック治療は白く美しい見た目の審美性はもちろん、銀歯などの金属を使わないで、オールセラミックやジルコニアなどのメタルフリーの素材を使って治療を行うことで、金属アレルギーや金属イオンによる歯肉の黒ずみのリスクを減らすことを考慮した上で治療をします。なお金属を使用しないので、見た目も白く天然歯に近い自然な仕上がりを得ることができます。
銀歯は金属アレルギーの
原因になる?!
現在の日本の保険適応範囲内の被せ物や詰め物の素材は、パラジウム、クロム、鉄、コバルト、マンガン、ニッケル、亜鉛、銅、プラチナ、銀などの重金属が使われています。これらの金属は詰め物や被せ物に使用しますが、この金属がお口の中でゆっくりと溶け出しアレルギー反応を起こすことがあります。これを金属アレルギーと言います。
金属アレルギーの主な症状とは
- お口の中に膿胞や発疹、口内炎
- 舌がピリピリする
- アレルギー性皮膚炎
- 皮膚のかゆみやかぶれ
- 蕁麻疹(じんましん)
- 頭痛 etc…
金属アレルギーの対策として、既に金属を使用している場合は、金属を使用しないメタルフリーによるセラミック素材に変更することが最適です。
従来の素材とセラミックの
比較
セラミックは、自然な光を透過する優れた美しさだけでなく、硬すぎて他の歯を傷つけることもない、強さとしなやかさまでも兼ね備えた理想的な材料です。
金属を一切使わないため、金属アレルギーの患者様にも安心してご利用いただけるという利点もあります。また、お口の中の歯肉とのなじみも良いため、かぶせ物周辺の歯肉の健康も維持できます。
セラミックは、お口の中のどの部分にも、様々な形で装着できますので、あなたのお口に合った最善の治療法を見つけてください。
銀歯 保険○
『メリット』
金属なので丈夫、保険適応なので安価。
割れることがない。
『デメリット』
銀の詰め物、被せ物なので目立ってしまい見た目が良くない。
金属アレルギーのリスクがある。
メタルボンド 保険×

『メリット』
見た目が天然歯に近い白い色を出せる。
内面に金属を使ってるので全体が壊れることはない。
『デメリット』
内冠に金属を使用するので、年数が経つと金属との接着面の歯ぐきが黒ずむこともある。
色は白いが自然さにかける表面の薄いセラミックがかける。
金属アレルギーのリスクがある。
保険適応外である。
ハイブリッドセラミック 保険×

『メリット』
セラミックとレジンを混合した素材なので、白く美しい色を出せる。
硬すぎず弾力性があるので対合歯を傷めにくい。
金属アレルギーのリスクがない。
『デメリット』
オールセラミックと比べると色調のバリエーションが少ない。
またやや摩耗しやすい。
変色がある
吸水性があるためあまり衛生的ではなく劣化しやすい
オールセラミック(ジルコニア) 保険×

『メリット』
強度が強く、色調のバリエーションも多く自然な仕上がりが期待できる。
歯ぐきの黒ずみの心配がない。
金属アレルギーのリスクがない。
吸水性がなく表面がつるつるとして清潔
『デメリット』
保険適応外である。
当院のセラミック治療
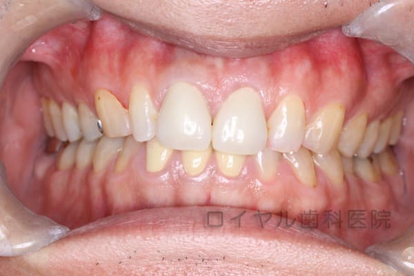
CASE1
ジルコニアセラミック
-
- 主訴
- 変色している歯をキレイにしたい
-
- 治療内容
- ジルコニアセラミック
術前(2番・3番治療計画)根の治療をしているので、歯の色が変わってしまっています。術後(2番・3番治療)メタルフリーの被せ物を装着しました。色も、根元の歯ぐきの状態も良好です。
【リスク・副作用】
過度の咬合や衝撃で割れることがあります。
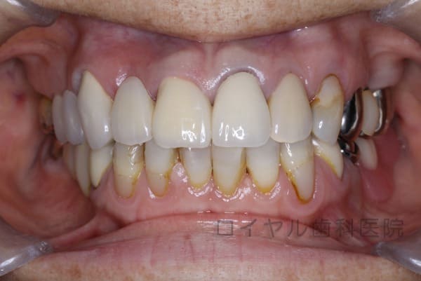
CASE2
セラミック+ファイバーコア+
歯肉形成
-

術前
-

術前
-

術中
-

術後
-
- 主訴
- 補綴不適合・むし歯
-
- 治療内容
- セラミック+ファイバーコア+歯肉形成
上顎前歯部の被せ物の長さが揃ってません。色も変色しています。外した直後です。かなり虫歯が進行しています。虫歯を取って、新しい土台、ファイバーコアを入れて、歯肉の高さを揃え被せ物の長さも揃い、根元の黒い線もなくなりました
【リスク・副作用】
過度の咬合や衝撃で割れることがあります。
CASE3
ブリッジ 前歯
-

術前
-

術前
-

術後
-

術後
-
- 主訴
- ブリッジをなくした
-
- 治療内容
- ブリッジ 前歯
ブリッジをなくしたという理由で来院。新しいブリッジが装着され、歯肉との調和も取れています。
【リスク・副作用】
過度の咬合や衝撃で割れることがあります。
CASE4
オールセラミッククラウン
-
- 主訴
- 補綴不適合
-
- 治療内容
- オールセラミッククラウン
被せ物の下の歯ぐきが痩せて、根が露出しています。新しく前歯6本をオールセラミックスクラウンで被せて綺麗になりました
【リスク・副作用】
過度の咬合や衝撃で割れることがあります。
CASE5
外傷による歯冠破折
-
- 主訴
- 外傷による歯冠破折
-
- 治療期間
- 即日
-
- 治療内容
- ダイレクトボンディング
転んで歯が折れて来院。その日のうちに詰め物で修復しています
【リスク・副作用】
過度の咬合や衝撃で割れることがあります。
CASE6
上顎オールセラミック
-
- 主訴
- むし歯
-
- 治療内容
- 上顎オールセラミック
上顎の前歯は虫歯が多数あり、つぎはぎ的な治療のため見た目が良くありません。上下ホワイトニング後、上の前歯6本を被せています。1年経過後です。
【リスク・副作用】
過度の咬合や衝撃で割れることがあります。
CASE7
セラミックインレー
-
- 主訴
- 銀の詰め物を白くしたい
-
- 治療内容
- セラミックインレー
銀の詰め物をセラミックインレーでキレイに修復したケースです。
【リスク・副作用】
過度の咬合や衝撃で割れることがあります。
CASE8
前歯のセラミック
-
- 主訴
- 前歯をキレイにしたい
-
- 治療内容
- 前歯のセラミック
上顎の前歯2本がかなり傷んでいます。新しセラミックを被せました。色調、経過も良好です。
【リスク・副作用】
過度の咬合や衝撃で割れることがあります。
CASE9
前歯のセラミック
-
- 主訴
- 前歯4本をキレイにしたい
-
- 治療内容
- 前歯のセラミック
上の前歯4本に審美障害があります。上顎の前歯をセラミックで被せ直しています。歯茎の状態が自然です
【リスク・副作用】
過度の咬合や衝撃で割れることがあります。
CASE10
セラミックのケース
-

術前
-

除去
-

術後
-
- 主訴
- 補綴不適合
-
- 治療内容
- 前歯のセラミック
術前の写真をみると上の被せ物、奥の被せ物の根元が合っていません。外してみると土台も傷んでいます。新しくセラミックを被せ直してます。イメージがかなり変わりました
【リスク・副作用】
過度の咬合や衝撃で割れることがあります。













