根管治療について
なぜ根管治療が必要なの?

根管治療とは一般的には歯の根(根管)についての治療の事を指します。
歯の中には歯髄(神経)という軟らかい組織があり、根管の先のほうの小さな細い孔(あな)で、顎骨の中の神経や血管とつながっています。この歯髄が悪化したむし歯や外傷で、細菌の感染を受けたような場合には、歯がひどく痛んだり、歯肉が腫れたりします。このような症状を改善させるには歯髄を除去して歯を残す治療をしなければなりません。これが根管治療と言います。
当院の根管治療の流れ
-
STEP 1
- 診断と計画
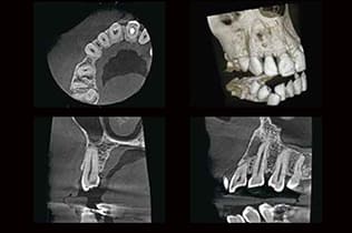
- 問診、検査(視診、触診、CT撮影など)を行い、根管治療の必要性を診断をします。
-
-

検査(視診、触診)
-

CT・レントゲン撮影
-

レントゲン検査
-

CT検査
-
-
STEP 2
- 根管へのアクセスと隔離
-
麻酔後、ラバーダムを装着し、治療歯を唾液や細菌から隔離します。
-
-
-
STEP 3
- 根管の清掃・形成
- 感染した神経や組織を専用器具で除去。根管内を洗浄・消毒し、薬剤が充填しやすいように根管の形を整えます。
-
-
-
STEP 4
- 根管充填
- 清掃・形成された根管内に薬剤を隙間なく緊密に詰めて密閉します。
-
-
-
STEP 5
- 歯の修復と経過観察
- 土台築造や被せ物などをします。治療後の経過を定期的に観察します。
-
-
-
STEP 6
- メンテナンス
- 定期検診で再発・他の歯が悪くならないように予防します。
-
-
根管治療をしないと抜歯になるかも!?
この病巣を根管治療しないでほおっておくと、最悪のケースとしては抜歯も余儀なくされます。根管治療は皆様の歯を残すうえでは非常に重要な治療です。
根管治療の原因は?
歯髄炎の場合:(治療法⇒神経を抜く根管治療)
むし歯は放っておくと、むし歯は深くまで進んで神経(歯髄)に達して、歯がしみたり、痛んだりします。これを歯髄炎といいます。歯髄が細菌に感染してしまったということです。
根尖性歯周炎の場合:(治療法⇒神経が無い歯に対して行う根管治療)
むし歯や打撲などによって神経が死んでしまったときや、根の治療を途中のまま時間が経ってしまったときや、以前に神経をとっている歯がなんらかの原因で感染を起こしてしまったときに根の先端(根尖)に膿が溜まってきます。このまま放置するとだんだん痛くなってきます。
当院の根管治療
歯の根の治療(根管治療 )は、深いむし歯などで歯の神経を取ったあと、神経が入っていた根管をきれいにして、根の先まで薬を入れる処置です。
-
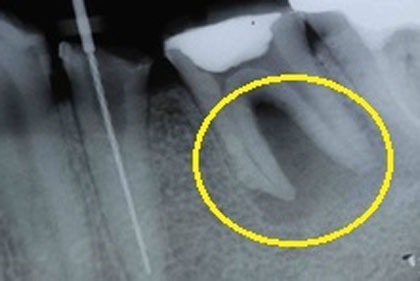
黄色枠内の色の濃い部分は、
炎症で骨に大きな空洞ができています。 -
治療5年後、影もなくなり、
新しい骨ができてるのも確認できます。








