歯周膿瘍について

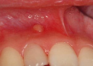
歯周膿瘍とは歯肉が腫れ・膿(うみ)が出てくる病気です。
歯肉がプクッと赤く腫れて膿が出たり、歯を磨いているときでなくても歯ぐきから出血するという状態です。また、多くの場合、口臭も出ます。
放置していると周りの歯にも悪影響を及ぼす可能性もあるので、早期の治療をおススメします。
歯周膿瘍の原因

歯周膿瘍の原因としては下記の通りです。
◆原因A
- 根の先で化膿した場合(根尖由来)
- 歯の周わりで化膿した場合(歯周炎由来)
◆原因B
- 2つが同時に起きた場合。
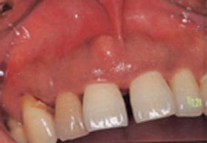
①根尖由来による歯周膿瘍
何らかの原因(熱・酸・力)で歯の神経が死んでしまったとき、根の治療(根管治療)を途中でやめてしまった場合または予後不良の場合に起こることがあります。
②歯周炎由来による歯周膿瘍
これに対して、歯の横に膿がたまる場合の多くは歯肉と歯周組織(歯周病)が原因で起こることがあります。
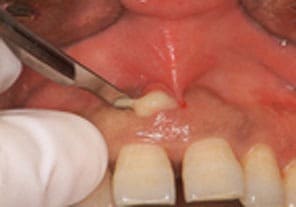
治療方法は?
膿の部分を切開、洗浄をし、薬を服用して症状を落ち着かせます。その後根本的な治療をおこないます。




